
Meet
Marshone Clark, DDS
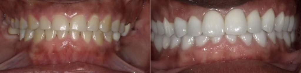
“As a dentist it is my passion and duty to provide my patients with the most honest, comprehensive, and aesthetically pleasing dental care possible. I find great pleasure in helping an individual transition from poor dental condition to having a healthy, vibrant smile that they can be proud of! As a psychology major I learned how a person’s smile and appearance can have a strong influence on their self-esteem. I strive to help each of my patients obtain the smile of their dreams.”
Learn More















